ながみね歯科クリニック
HOME
歯科医師紹介
歯科医師紹介
インタビュー
医院案内
診療案内
虫歯治療
歯周病
予防歯科
小児歯科
インプラント
インビザライン
大人の矯正
小児矯正
かみ合わせ治療
審美歯科
ホワイトニング
ワンデーTREATMENT(セレック治療)
料金表
アクセス
症例一覧
キャッチフレーズ
詳細を見る
サービスサンプル4
サービスサンプル3
サービスサンプル2
サービスサンプル1
症例一覧
ワンデーTREATMENT(セレック治療)症例1
症例一覧
インプラントロケーター義歯症例1
症例一覧
ホワイトニング症例4
症例一覧
ホワイトニング症例3
症例一覧
ホワイトニング症例2
症例一覧
ホワイトニング症例1
症例一覧
インビザライン症例5
症例一覧
インビザライン症例4
ホーム
症例一覧
矯正
インビザライン症例2
症例一覧
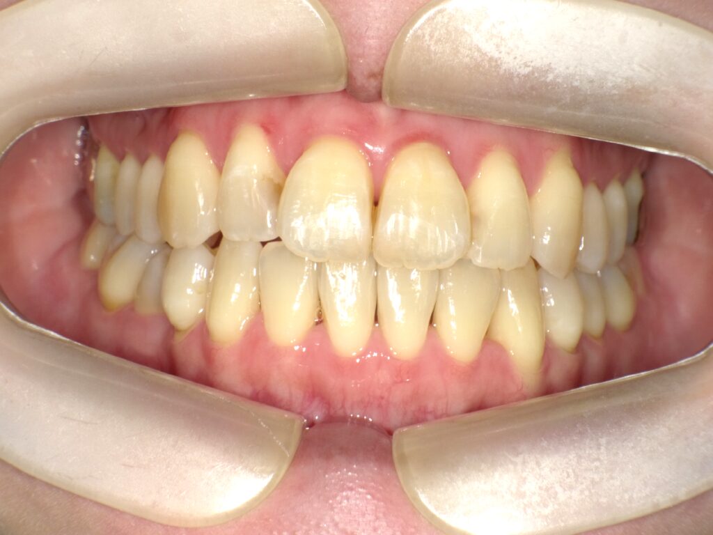
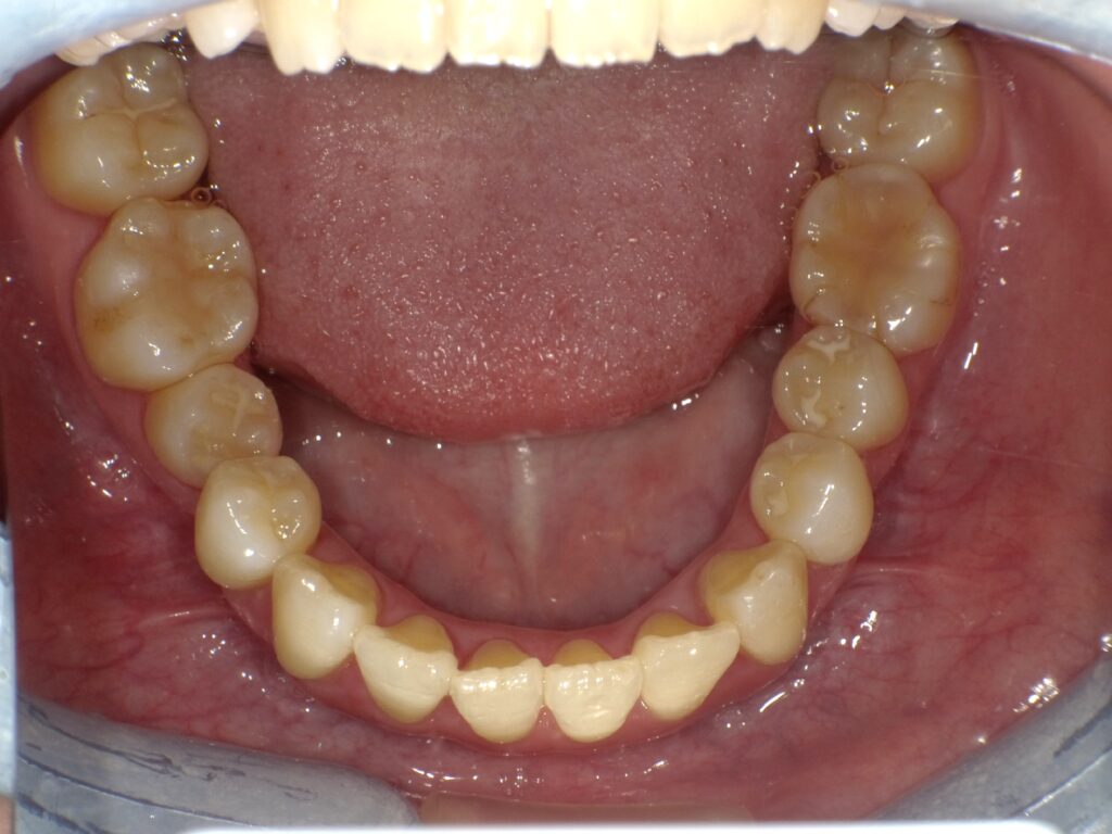
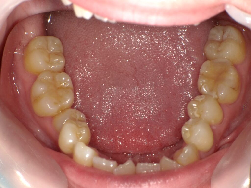
インビザライン症例2
2025.12.18
治療内容
インビザライン
症状
叢生
治療期間
1年
インプラント症例1
前の記事
インビザライン症例3
次の記事
関連記事
症例一覧
インビザライン症例3
2025.12.18
症例一覧
ホワイトニング症例3
2025.12.18
症例一覧
ホワイトニング症例1
2025.12.18
症例一覧
インプラント症例1
2024.11.25
症例一覧
インプラントロケーター義歯症例1
2025.12.18
症例一覧
インプラント症例3
2024.11.25
最近の記事
ワンデーTREATMENT(セレック治療)症例1
2025.12.18
インプラントロケーター義歯症例1
2025.12.18
ホワイトニング症例4
2025.12.18
カテゴリー
症例一覧
インプラント
セレック治療
ホワイトニング
矯正
アーカイブ
2025年12月
2024年11月
HOME
歯科医師紹介
歯科医師紹介
インタビュー
医院案内
診療案内
虫歯治療
歯周病
予防歯科
小児歯科
インプラント
インビザライン
大人の矯正
小児矯正
かみ合わせ治療
審美歯科
ホワイトニング
ワンデーTREATMENT(セレック治療)
料金表
アクセス
症例一覧