美しく整った歯並びは、笑顔を輝かせるだけでなく、全身の健康や快適な生活にもよい影響を与えます。ながみね歯科クリニックでは、透明なマウスピース「インビザライン」を用いた矯正治療を行っています。ここでは、インビザライン(マウスピース矯正)について詳しく説明していきます。
インビザラインとは、マウスピース型の矯正装置を用いた矯正治療のことをいいます。アメリカのアライン社が提供する矯正システムで、従来のワイヤー矯正とは異なる最先端の矯正治療法です。
インビザライン矯正治療では透明なマウスピースを使用するため、目立つことなく歯並びを整えることができます。口腔内3Dスキャナーを駆使して作られるカスタムメイドのマウスピースを段階的に交換していくことで、歯を少しずつ理想的な位置へと移動させます。

当院のインビザライン(マウスピース矯正)が選ばれるのには、以下の理由があります。
カウンセリングでは患者さまの気になる部分やご希望などをヒアリングしながら、一人ひとりに合わせた治療プランをご提案。治療期間や費用、日常生活への影響など、患者さまが気になることがクリアになるように徹底したカウンセリングを行います。些細なことでもお気軽にご相談ください。

インビザラインは、小学生の子どもからご年配まで幅広い年齢層の方に対応できる矯正治療です。特に年齢制限はありませんので、健康なお口の大人の方であれば何歳からでもスタートできます。子どもの場合は、小学1年生から3年生前後から適応可能の目安です。
当院でも様々な年齢の患者さまがインビザラインでの矯正治療を行っています。

当院では、最新の口腔内スキャナーである「iTero」を使用しています。3Dスキャナーを用いデジタルで歯の型取りを行うことできるため、より精密かつスピーディーな矯正治療が可能に。従来の型取りのように、患者さまに負担をかけることもなく快適にお口の中の状態を確認できます。
これにより、治療前の歯並びと治療後の予想される姿を3Dでシミュレーションし、患者さまと一緒に治療のゴールを共有できます。

お口の状況によっては、インビザラインでは歯が動きにくい場合もあります。そのようなときは、必要に応じてワイヤーや他の矯正方法を組み合わせたアプローチを提案。多様な歯並びの悩みに対して、最適な解決策をご提案します。

当院では、健康・審美・機能をトータル診療することを大切にしています。そのため、矯正治療を単なる歯並びの調整としてではなく、患者さま全身の健康との調和も考えてアプローチしています。
咬み合わせ、顎の位置、姿勢、重心バランスなど、全身的な観点から治療方針を立案し、長期的な健康を追求します。

矯正治療は、豊富な経験と高度な専門知識を持つ歯科医師が担当。
最新の歯科技術と専門的な知見を駆使し、安心で質の高い治療を提供します。
当院ではどの歯科医師もインビザラインの対応が可能ですが、ケースに応じて他院に在籍するインビザライン専門の歯科医師からのアドバイスも活用し、より患者さまに喜んでいただける治療を行っています。

矯正治療にかかる費用の負担を軽減するため、月々の支払いに対応したデンタルローンをご用意。患者さまの経済的な状況に配慮したフレキシブルな支払いプランをご提案いたします。

インビザライン治療は、従来の矯正治療と比べて異なる特徴を持っています。ここでは、インビザライン(マウスピース矯正)のメリットとデメリットを説明します。
インビザラインのメリットは、なんといっても目立ちにくいことです。従来の金属製のブラケットやワイヤーとは異なり透明なマウスピースを使うため、矯正治療中の見た目のストレスを解消できビジネスやプライベートな場面でも、矯正装置を意識せずに日常生活を送れるようになります。
マウスピースは、食事の際や歯磨きをするに簡単に取り外せます。これは、従来の固定式矯正装置とは大きく異なる特徴です。
好きな食べ物を制限されることなく、普段通りの食生活を楽しめます。また、歯磨きも通常通り行えるため、お口の中の衛生を保ちやすいのも大きなメリットです。矯正治療中の虫歯や歯周病のリスクを大幅に低減できます。
金属のブラケットやワイヤーがないため、お口の中の痛みや不快感を大きく軽減することができます。マウスピースは柔らかい素材でできているため、頬や舌への刺激も最小限に抑えられます。従来の矯正治療と比べて格段に快適で、お口のトラブルも起こりにくいのもメリットです。
インビザライン治療では頻繁に歯科医院へ通う必要がないため、通院頻度が少なくなります。ケースにもよりますが、だいたい2~3ヶ月ごとの通院でよいため、忙しい社会人の方も治療の負担を感じにくいでしょう。
最新の3Dシミュレーション技術により、治療の進行と最終的な結果をあらかじめ予測することができます。治療前に理想の歯並びをイメージできるため、患者さまの治療への期待と安心感を高めることができます。
インビザライン矯正治療では、1日に20時間~22時間マウスピースを装着する必要があります。食事や歯磨き時以外はずっとマウスピースを装着しているような状態です。
自由に取り外しは可能であるものの、特に治療開始時はストレスを感じてしまうかもしれません。
またインビザライン矯正治療の成功は、患者さま自身の治療への取り組みに大きく関わってきます。「違和感があるからあまりつけたくない…」と決められたマウスピース装着時間を守ることが徹底できない場合は、治療効果が低くなる可能性があります。
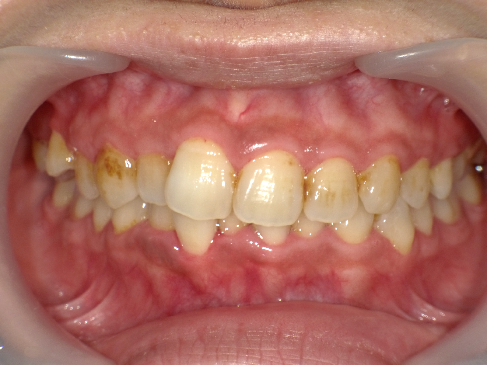
複雑な歯列不正や不正咬合、骨格的な問題などの場合は、インビザラインでの矯正治療が行えず、従来の矯正装置が必要となる場合もあります。インビザラインを希望されても適応対象とならないケースがあるため、その際は患者さまに合う最適なプランをご提案します。歯並びや咬み合わせの状態が悪い状態のことを、不正咬合といいます。インビザラインで治せる不正咬合を紹介します。
.jpg)
叢生(そうせい)とは、歯が重なり合って生えている状態のこと。デコボコした形態のため歯磨きが難しく、虫歯・歯周病のリスクが高まります。
.jpg)
上顎前突は、いわゆる出っ歯のこと。上の前歯よりも下の前歯が前に出ている状態です。反対に下顎前突は、下の前歯が前に出ている状態で、受け口ともいわれます。
見た目の問題だけでなく、咬み合わせや発音の問題を引き起こす可能性があります。

前歯が咬み合わない状態のことを開咬といいます。奥歯で噛んでも前歯部分にすき間が空いている状態です。
口呼吸になることで虫歯・歯周病のリスクが高まったり、免疫力の低下が起こったりします。また、咀嚼障害や嚥下障害が生じることもあります。
.jpg)
深すぎる咬み合わせのことを過蓋咬合といいます。歯を咬み合わせた際、上の前歯が下の前歯を覆って、下の前歯がほぼ見えない状態になります。
他の不正咬合と比べると見た目の問題はあまり気にならない場合も多いですが、奥歯に負担がかかりすぎたり、顎関節症になったりするリスクがあります。
上記は不正咬合の一例で、実際には治りやすいケース、治りにくいケースがあるので、診断によって決まります。
当院では、インビザライン矯正治療に最新の光加速装置を用いています。光加速装置は、光(近赤外線)により細胞を活性化させ、歯の移動を促進させる働きを持っています。
インビザライン矯正治療と組み合わせることで、治療効率を大幅にアップ。治療期間を従来よりも短縮することが可能です。

最後に当院での治療の流れを説明します。
矯正治療に興味をお持ちの方は、まずは無料相談にお越しください。矯正治療に対する不安や疑問に丁寧にお答えし、患者さまの歯並びに適したプランをご提案します。

X線撮影、CT撮影、口腔内写真撮影、顔面写真撮影、iTeroを使用した精密な口腔内スキャンなどの精密検査を行います。これによりお口の状況を総合的に分析します。

検査結果をもとに治療プランを立案。歯並びや全身のバランスを考慮した詳細な治療計画を立てます。
また、iTeroを用いて矯正治療のシミュレーションも行います。実際にどのように歯並びがきれいになっていくのかがイメージしやすくなります。

ご提案した治療計画について、患者さまの同意が得られたらご契約へ。治療計画はもちろん、費用、スケジュールについてもくわしくご説明し、ご納得いただいた上で契約を進めます。

カスタムメイドのインビザラインマウスピースの作成を行います。手元にマウスピースが届いたら治療スタート。取扱い方法や注意点などをご説明し、実際に装着していただきます。
定期的なチェックを行いながら、理想の歯並びへと導きます。

ながみね歯科クリニックでは、最新の技術と専門的な知見で、理想の歯並びと健康な口腔環境の実現をサポートします。ぜひ当院までお気軽にご相談ください。
お問い合わせ・ご予約は
Copyright (c) 2024 ながみね歯科クリニック All Rights Reserved.